Tìm hiểu thêm giải pháp cải tiến trong điều trị sai khớp cắn Loại II


Hệ thống Invisalign® tái định nghĩa điều trị sai khớp cắn Loại II cho bệnh nhân đang tăng trưởng.
Điều trị hiệu quả.
Nâng cao sự thoải mái cho bệnh nhân1 và sự tuân thủ2
Di chuyển răng có thể dự đoán được.
Hệ thống Invisalign với tính năng mandibular advancement tích hợp khối mặt nhai giảm thiểu nhu cầu sử dụng nhiều khí cụ để điều trị sai khớp cắn loại II đồng thời làm thẳng răng. Được làm từ vật liệu SmartTrack™ độc quyền của chúng tôi, có thể dự đoán được và thoải mái hơn1. Điều này rất quan trọng, bởi vì sự thoải mái của bệnh nhân đóng vai trò quan trọng trong việc tuân thủ thời gian đeo khay theo chỉ định để đạt được kết quả tối ưu2.




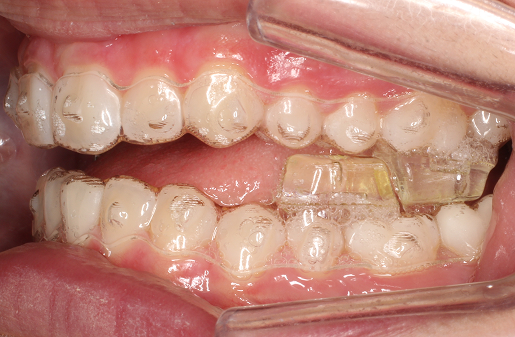
Cách các khối cắn hoạt động
Khay niềng trong suốt Invisalign với các khối tích hợp được đặt trên bề mặt nhai.
Khi bệnh nhân khép hàm và hàm dưới được đưa ra trước, các khối mặt nhai sẽ hỗ trợ đẩy và giữ hàm dưới ở vị trí đó.
Hệ thống này đưa hàm dưới ra trước đồng thời chỉnh nha để điều trị sai khớp cắn Loại II, bao gồm cả các ca cắn sâu nặng.




Chỉ định lâm sàng
Hệ thống Invisalign® với tính năng mandibular advancement với khối mặt nhai là phương pháp điều trị mới được thiết kế để điều trị tất cả các loại sai lệch khớp cắn Loại II, bao gồm các ca cắn sâu nặng. Các bệnh nhân cần cân nhắc áp dụng phương pháp này:


Brachyfacial
Khuôn mặt "ngắn" với góc hàm dưới thấp và cắn sâu.


Mesofacial
Khuôn mặt "bình thường hoặc trung tính" với cắn sâu.





