Xem phương pháp điều trị Invisalign® có thể làm được gì.
Chọn bất kỳ loại ca nào bên dưới và trượt giữa 'Trước' và 'Sau'.
Hạng II
Hạng III
Cắn chéo răng trước
Khe thưa
Cắn hở
Chen chúc
Cắn sâu
Nhổ răng
Mandibular Advancement
Lệch đường giữa
Hẹp cung hàm
Điều trị giai đoạn 1
Cắn chéo răng sau
Điều trị phẫu thuật
Làm răng đều hơn
Hạng II
Hạng III
Cắn chéo răng trước
Khe thưa
Cắn hở
Chen chúc
Cắn sâu
Nhổ răng
Mandibular Advancement
Lệch đường giữa
Hẹp cung hàm
Điều trị giai đoạn 1
Cắn chéo răng sau
Điều trị phẫu thuật
Làm răng đều hơn
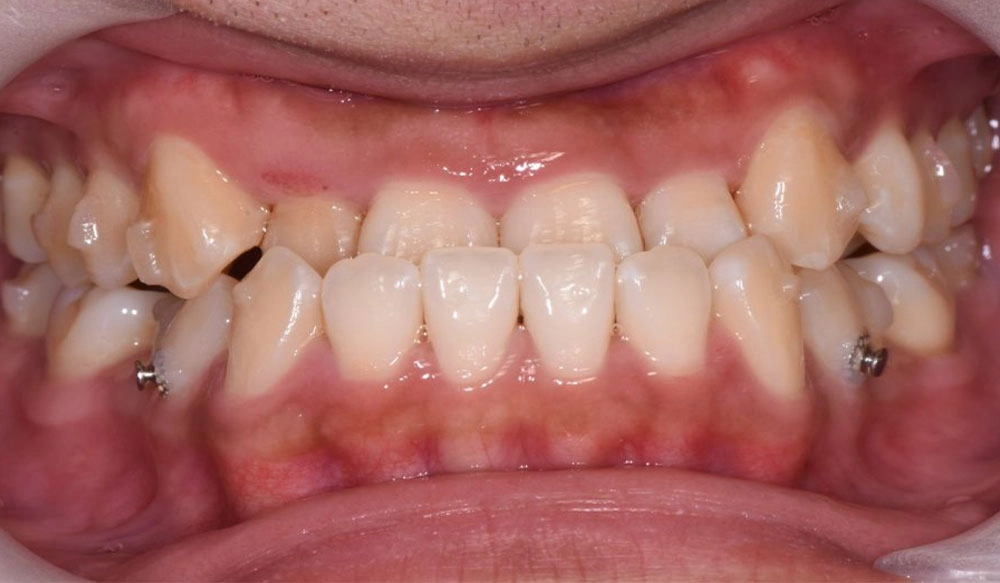
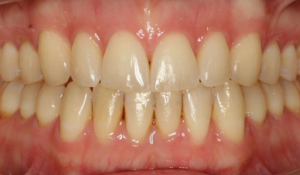
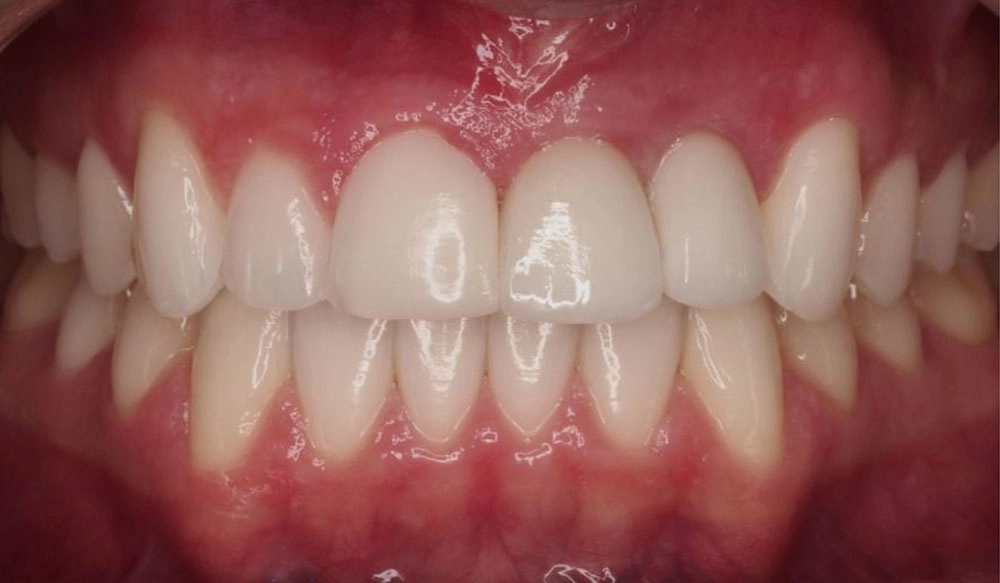
Hạng II




Hạng II — là tình trạng mà múi gần ngoài của răng hàm lớn thứ nhất hàm trên nằm ở phía trước rãnh giữa ngoài của răng hàm lớn thứ nhất hàm dưới thay vì cả hai đều thẳng hàng, ảnh hưởng đến mối quan hệ khớp cắn giữa cả hai cung răng.
Thông tin bệnh nhân:
Tuổi: 24
Giới tính: Nữ
Lựa chọn điều trị Invisalign: Invisalign Comprehensive
Tổng thời gian điều trị:
21 tháng
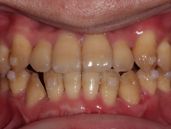
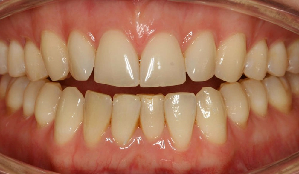
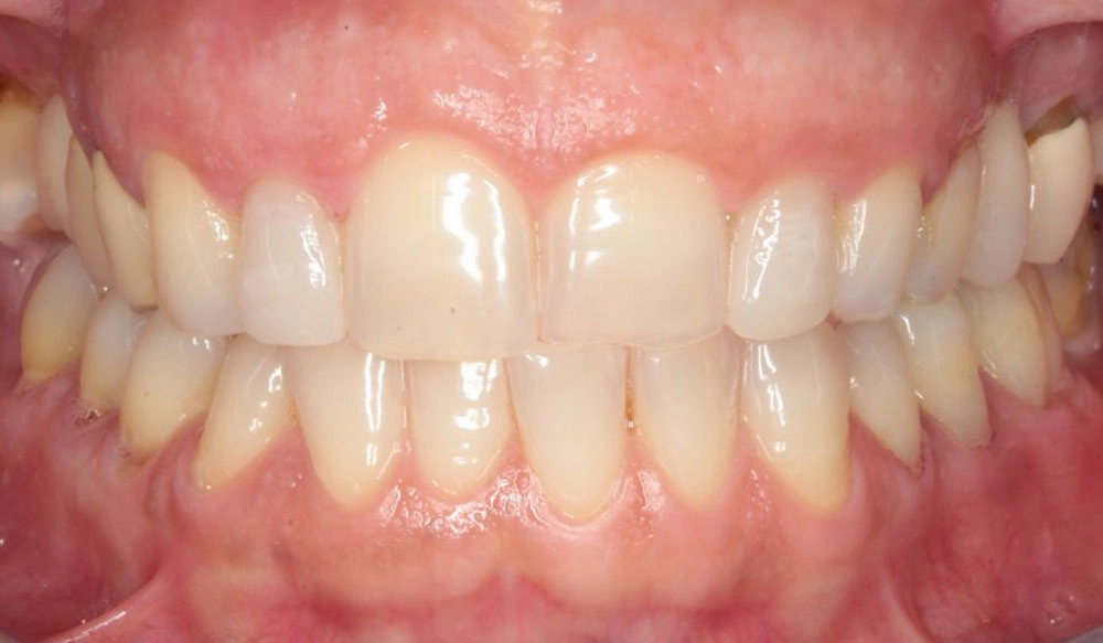
Hạng III




Hạng III — là tình trạng mà múi gần ngoài của răng hàm lớn thứ nhất hàm trên nằm sau rãnh giữa ngoài của răng hàm lớn thứ nhất hàm dưới thay vì cả hai đều thẳng hàng, ảnh hưởng đến mối tương quan khớp cắn giữa cả hai cung răng.
Thông tin bệnh nhân:
Tuổi: 27
Giới tính: Nữ
Lựa chọn điều trị Invisalign: Invisalign Comprehensive
Tổng thời gian điều trị:
28 tháng
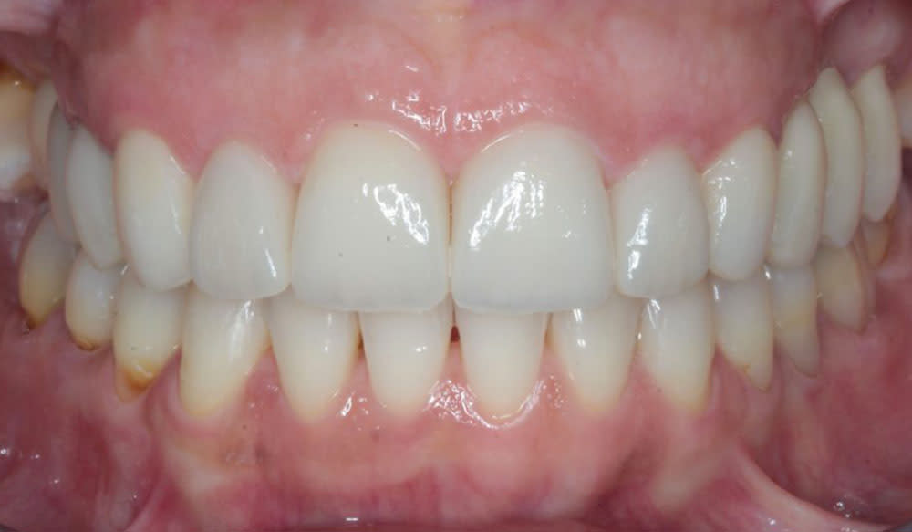
Cắn chéo răng trước




Cắn chéo răng trước là mối tương quan bất thường theo chiều trước sau giữa một hoặc nhiều răng cửa hàm trên và hàm dưới, khiến răng hàm trên nằm ở vị trí lưỡi so với răng hàm dưới.
Lựa chọn điều trị Invisalign: Invisalign Comprehensive
Năm: 2022
Mức độ khó: Nâng cao
Giới tính: Nam
Khe thưa




Khe thưa — hay “răng thưa” — là tình trạng có khoảng trống giữa các răng liền kề trên cung răng.
Lựa chọn điều trị Invisalign: Invisalign Comprehensive
Năm: 2022
Mức độ khó: Nâng cao
Giới tính: Nữ
Cắn hở




Cắn hở là tình trạng không có sự phủ theo chiều dọc của răngcửa trong khớp cắn trung tâm. Tình trạng này có thể giới hạn ởrăng cửa hoặc bao gồm cả một số răng sau.
Thông tin bệnh nhân:
Tuổi: 29
Giới tính: Nữ
Lựa chọn điều trị Invisalign: Invisalign Comprehensive
Tổng thời gian điều trị:
19 tháng
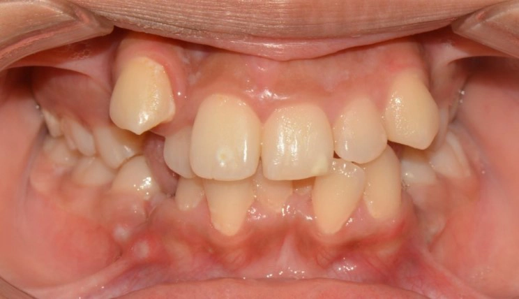
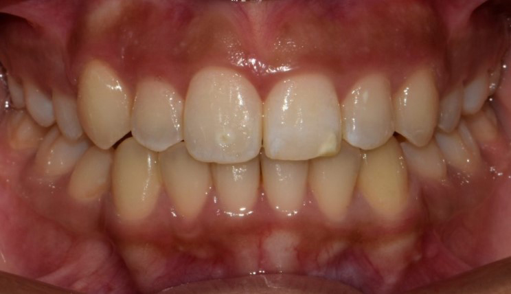
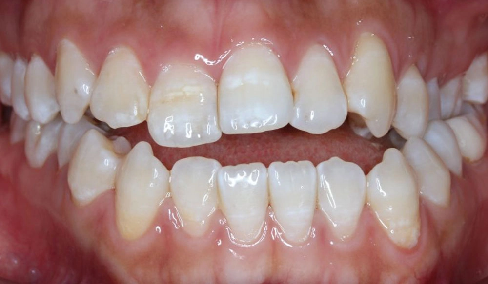
Chen chúc




Chen chúc là tình trạng có sự chênh lệch giữa kích thước răng và không gian có sẵn để sắp xếp răng trên cung răng.
Thông tin bệnh nhân:
Tuổi: 17
Giới tính: nữ
Lựa chọn điều trị Invisalign: Invisalign Comprehensive
Tổng thời gian điều trị:
29 tháng
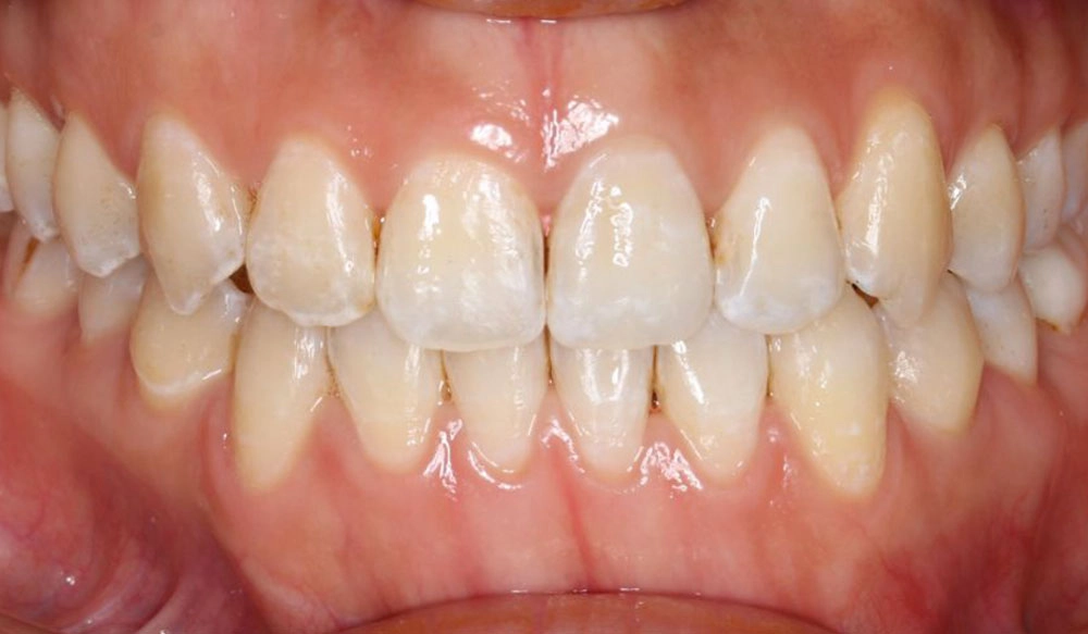
Cắn sâu




Cắn sâu là tình trạng mà sự phủ theo chiều dọc của các răng cửa ở khớp cắn trung tâm lớn hơn 30 – 40%.
Thông tin bệnh nhân:
Tuổi: 13
Giới tính: Nam
Lựa chọn điều trị Invisalign: Invisalign Comprehensive
Tổng thời gian điều trị:
24 tháng
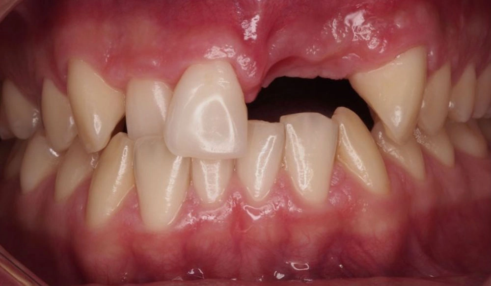
Nhổ răng




Nhổ răng là việc loại bỏ một hoặc nhiều răng khi cần tạo khoảng trống lớn để sắp xếp và tạo mối tương quan khớp cắn chính xác giữa các răng còn lại
Thông tin bệnh nhân:
Tuổi: 16
Giới tính: Nữ
Lựa chọn điều trị Invisalign: Invisalign Comprehensive
Tổng thời gian điều trị:
16 tháng
Mandibular Advancement




Phương pháp điều trị Invisalign® với mandibular advancement hướng đến những bệnh nhân đang tăng trưởng có tình trạng sai lệch khớp cắn hạng II ở hàm răng vĩnh viễn hoặc răng hỗn hợp muộn ổn định. Tính năng đặc biệt của cánh gài cải tiến được tích hợp vào khay niềng răng Invisalign.
Lựa chọn điều trị Invisalign: Invisalign Comprehensive
Năm: 2022
Mức độ khó: Nâng cao
Giới tính: Nữ
Lệch đường giữa




Lệch đường giữa là tình trạng mất cân bằng giữa đường giữa cung hàm trên và cung hàm dưới và/hoặc so với đường giữa khuôn mặt.
Thông tin bệnh nhân:
Tuổi: 28
Giới tính: Nữ
Lựa chọn điều trị Invisalign: Invisalign Comprehensive
Tổng thời gian điều trị:
16 tháng
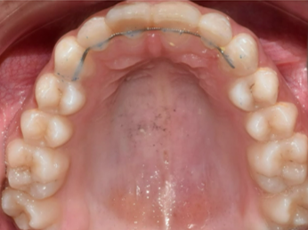
Hẹp cung hàm




Cung hàm hẹp là tình trạng chiều rộng ngang của cung hàm trên và/hoặc cung hàm dưới quá hẹp khiến răng không thể thẳng hàng và tiếp xúc khớp cắn tốt.
Lựa chọn điều trị Invisalign: Invisalign Comprehensive
Năm: 2022
Mức độ khó: Nâng cao
Giới tính: Nữ
Điều trị giai đoạn 1




Điều trị sớm cho bệnh nhân trẻ (6-10 tuổi): Điều trị sớm có thể mang lại lợi ích tốt nhất cho bệnh nhân nếu vấn đề của trẻ có thể trở nên nghiêm trọng hơn theo thời gian nếu không được điều trị. - Ngăn chặn vấn đề đang phát triển; Loại bỏ nguyên nhân; Điều hướng sự phát triển của xương mặt và xương hàm; Cung cấp đủ không gian cho răng vĩnh viễn mọc.
Thông tin bệnh nhân:
Tuổi: 9
Giới tính: Nam
Lựa chọn điều trị Invisalign: Invisalign cho thanh thiếu niên với MA
Tổng thời gian điều trị:
13 tháng
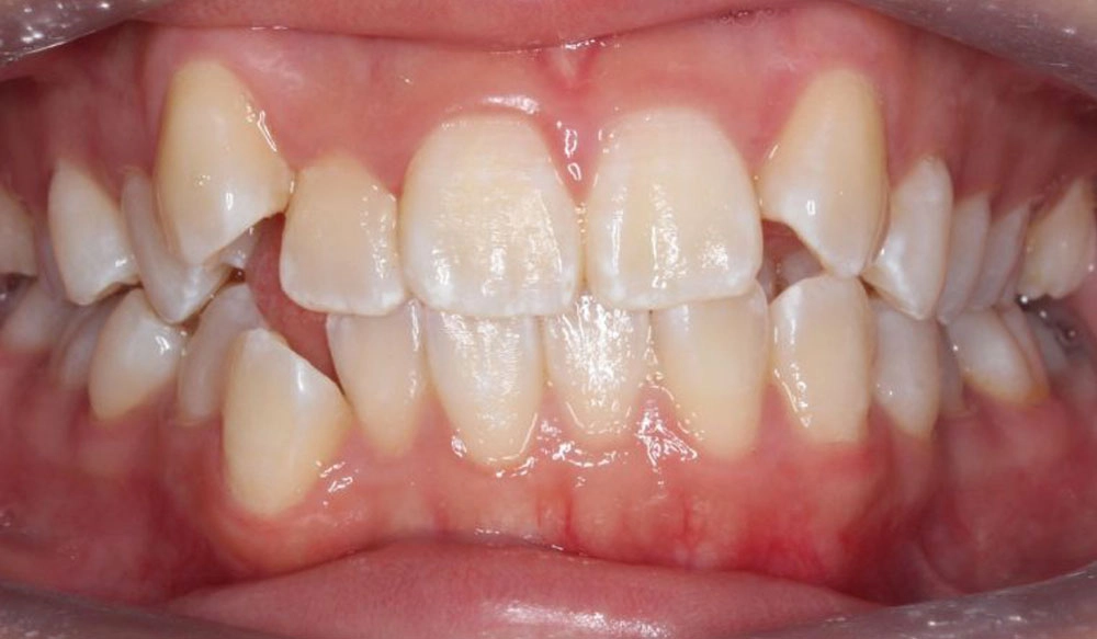
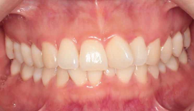
Cắn chéo răng sau




Cắn chéo răng sau là mối tương quan bất thường theo chiều má lưỡi giữa một hoặc nhiều răng sau hàm trên và hàm dưới, dẫn đến tình trạng răng hàm trên nằm ở vị trí lưỡi so với răng hàm dưới, hoặc răng hàm trên nằm ở vị trí phía má quá mức so với răng hàm dưới đến mức mặt lưỡi của chúng trượt vào mặt má của răng hàm dưới.
Thông tin bệnh nhân:
Tuổi: 24
Giới tính: Nữ
Lựa chọn điều trị Invisalign: Invisalign Comprehensive
Tổng thời gian điều trị:
29 tháng
Điều trị phẫu thuật




Phương pháp điều trị phẫu thuật có thể được sử dụng kết hợp với niềng răng trong suốt Invisalign để điều chỉnh sự mất cân bằng về xương gây ra tình trạng sai lệch khớp cắn.
Thông tin bệnh nhân:
Tuổi: 21
Giới tính: Nam
Lựa chọn điều trị Invisalign: Invisalign Comprehensive
Tổng thời gian điều trị:
21 tháng
Làm răng đều hơn




Một số nụ cười không hề có bất kỳ "vấn đề" nào cả — nhưng những sửa chữa nhỏ có thể tạo ra sự khác biệt lớn trong cuộc sống của bệnh nhân. Với phương pháp điều trị Invisalign®, bệnh nhân của bạn giờ đây có thể có được nụ cười mà họ yêu thích nhanh hơn tới 50 phần trăm. 1 2
Thông tin bệnh nhân:
Tuổi: 62
Giới tính: Nữ
Lựa chọn điều trị Invisalign: Invisalign toàn diện
Tổng thời gian điều trị:
13 tháng









