45% các ca phục hình có thể cải thiện kết quả nhờ chỉnh nha trước.1




“Tôi cần sắp thẳng răng trước, vì điều này giúp nâng cao kết quả điều trị.”
Bác sĩ Masami Arai, Nhật Bản


Khám phá các tài nguyên về nha khoa phục hình


eBook: Định hình giá trị thực cho bệnh nhân với phục hình nha khoa trường tồn
Khám phá lý do bệnh nhân ngày càng sẵn sàng đầu tư vào điều trị khi nhận thấy lợi ích lâu dài, đồng thời tìm hiểu cách trực quan hóa có thể giúp bạn tận dụng tối đa tiềm năng này.


Mô-đun 1 của Hướng dẫn Điều trị:
Chỉnh nha bằng khay trong suốt trong điều trị nha khoa toàn diện
Khám phá mối quan hệ giữa chỉnh nha với sức khoẻ răng miệng, thẩm mỹ và chức năng.
Vì sao nên tích hợp chỉnh nha vào quy trình điều trị?


Đạt được kết quả bền vững và ổn định
Chỉnh nha trước phục hình giúp ngăn cản tác động của sai khớp cắn, loại bỏ điểm tiếp xúc chịu lực lớn, tạo nền tảng khớp cắn ổn định, từ đó đảm bảo phục hình bền vững và duy trì chức năng lâu dài.2,3,4


Đáp ứng nhu cầu ngày càng tăng
Ngày nay, bệnh nhân sẵn sàng đầu tư vào các phương pháp điều trị toàn diện, bởi họ nhận thấy giá trị từ những liệu trình ít xâm lấn, vừa bảo tồn cấu trúc răng tự nhiên, vừa mang lại các phục hình bền chắc và lâu dài.5


Thúc đẩy tăng trưởng phòng khám
Có tới 45% ca phục hình có thể đạt hiệu quả tốt hơn nhờ chỉnh nha5. Hãy nắm bắt cơ hội này để phát triển phòng khám.


Đạt được kết quả bền vững và ổn định
Chỉnh nha trước phục hình giúp ngăn cản tác động của sai khớp cắn, loại bỏ điểm tiếp xúc chịu lực lớn, tạo nền tảng khớp cắn ổn định, từ đó đảm bảo phục hình bền vững và duy trì chức năng lâu dài.2,3,4


Đáp ứng nhu cầu ngày càng tăng
Ngày nay, bệnh nhân sẵn sàng đầu tư vào các phương pháp điều trị toàn diện, bởi họ nhận thấy giá trị từ những liệu trình ít xâm lấn, vừa bảo tồn cấu trúc răng tự nhiên, vừa mang lại các phục hình bền chắc và lâu dài.5


Thúc đẩy tăng trưởng phòng khám
Có tới 45% ca phục hình có thể đạt hiệu quả tốt hơn nhờ chỉnh nha5. Hãy nắm bắt cơ hội này để phát triển phòng khám.
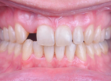
Ví dụ lâm sàng: Khám phá tác động lâm sàng của chỉnh nha trước phục hình
Trong trường hợp này, hệ thống Invisalign được sử dụng để tạo khoảng cho một implant vùng răng cửa.


Ban đầu:
Bệnh nhân có sai khớp cắn loại I, răng chen chúc, khớp cắn đối đầu, thiếu răng số 1.2 và cung hàm hẹp. Mục tiêu chính của điều trị là tạo khoảng để đặt implant cho răng 1.2.


Sau khi chỉnh nha trước phục hình:
Mở khoảng 6mm cho implant nhờ nong hàm trên và ngả răng cửa hàm trên về vị trí thích hợp mà không gây nghiêng răng.


Đặt implant và hoàn thiện phục hình
Sau khi hoàn tất điều trị implant, do hình dạng răng cửa không đều và theo mong muốn của bệnh nhân, các răng 1.1, 2.1 và 2.2 đã được phục hình bằng veneer sứ.


Ban đầu:
Bệnh nhân có sai khớp cắn loại I, răng chen chúc, khớp cắn đối đầu, thiếu răng số 1.2 và cung hàm hẹp. Mục tiêu chính của điều trị là tạo khoảng để đặt implant cho răng 1.2.


Sau khi chỉnh nha trước phục hình:
Mở khoảng 6mm cho implant nhờ nong hàm trên và ngả răng cửa hàm trên về vị trí thích hợp mà không gây nghiêng răng.


Đặt implant và hoàn thiện phục hình
Sau khi hoàn tất điều trị implant, do hình dạng răng cửa không đều và theo mong muốn của bệnh nhân, các răng 1.1, 2.1 và 2.2 đã được phục hình bằng veneer sứ.
*Ca do bác sĩ. Cihan Capan, Thổ Nhĩ Kỹ cung cấpy. Truy cập https://alignglobalgallery.com/ để xem các ca tương tự.
Phần lớn đồng nghiệp của bạn tin tưởng vào phương pháp Invisalign để hỗ trợ điều trị phục hình
nha sĩ được hỏi cho rằng cần thiết phải đưa răng bệnh nhân về vị trí tối ưu trước khi thực hiện thủ thuật phục hình.5
các nha sĩ được hỏi áp dụng phương pháp Invisalign như một kỹ thuật tiền phục hình6.
các nha sĩ được hỏi khuyến nghị phương pháp Invisalign như một kỹ thuật tiền phục hình7
nha sĩ được hỏi cho rằng cần thiết phải đưa răng bệnh nhân về vị trí tối ưu trước khi thực hiện thủ thuật phục hình.5
các nha sĩ được hỏi áp dụng phương pháp Invisalign như một kỹ thuật tiền phục hình6.
các nha sĩ được hỏi khuyến nghị phương pháp Invisalign như một kỹ thuật tiền phục hình7
Giờ đây, bắt đầu hành trình chỉnh nha đơn giản hơn bao giờ hết.
3 bước nâng tầm phòng khám.


1. Đăng ký
Hoàn thành mẫu đăng ký ngắn gọn để chúng tôi có thể kết nối bạn với đội ngũ hỗ trợ khởi động.
2. Trở thành Bác sĩ Invisalign
Hoàn thành khóa đào tạo trực tuyến cùng một ca lâm sàng để áp dụng kiến thức vào thực tiễn.
3. Bắt đầu điều trị
Sẵn sàng mang đến cho bệnh nhân hệ thống khay trong suốt tiên tiến nhất thế giới.8


1. Đăng ký
Hoàn thành mẫu đăng ký ngắn gọn để chúng tôi có thể kết nối bạn với đội ngũ hỗ trợ khởi động.
2. Trở thành Bác sĩ Invisalign
Hoàn thành khóa đào tạo trực tuyến cùng một ca lâm sàng để áp dụng kiến thức vào thực tiễn.
3. Bắt đầu điều trị
Sẵn sàng mang đến cho bệnh nhân hệ thống khay trong suốt tiên tiến nhất thế giới.8







