Giới thiệu Hệ thống nong hàm khẩu cái Invisalign®
Một giải pháp cải tiến cung cấp phương pháp với hiệu quả lâm sàng mang tính cách mạng1 để nong hàm2 . Được thiết kế dành cho bạn và bệnh nhân của bạn, giải pháp này loại bỏ nhu cầu vặn vít 1 , giúp việc điều trị dễ dàng hơn2 và thoải mái hơn3
Điều trị an toàn và hiệu quả lâm sàng1: Điều trị nong hàm khẩu cái Invisalign giúp mở rộng đường khớp giữa vòm miệng.4
Quy trình làm việc kỹ thuật số đơn giản: Dễ dàng tích hợp vào quy trình làm việc của phòng khám sau khi quét đơn giản với iTero™.
Giảm thời gian ngồi trên ghế: Không có kim loại có nghĩa là không có dây bị đứt và ít phải đến phòng cấp cứu hơn3.
Trải nghiệm tích cực của bệnh nhân5: nong hàm khẩu cái Invisalign có thể tháo rời để vệ sinh răng miệng dễ dàng6 và không gây thêm cảm giác khó chịu, khó khăn hoặc lo lắng7 do kim loại và việc vặn vít hàng ngày.


Khám phá những lợi ích của phương pháp điều trị chỉnh nha sớm bằng Hệ thống nong hàm khẩu cái Invisalign.
Được thiết kế dành cho bạn và bệnh nhân của bạn, giải pháp này loại bỏ nhu cầu vặn vít 1, giúp việc điều trị dễ dàng hơn3 và thoải mái hơn.
Điều trị an toàn và hiệu quả lâm sàng 2
Phương pháp điều trị nong hàm khẩu cái Invisalign giúp bạn đạt được mục tiêu lâm sàng là mở rộng đường khớp giữa vòm miệng3.
Một quy trình làm việc đơn giản, kỹ thuật số
Dễ dàng tích hợp vào quy trình làm việc của bạn sau một lần quét iTero™ đơn giản .
Giảm thời gian ngồi ghế
Không có kim loại có nghĩa là không có dây bị đứt và ít phải cấp cứu hơn4.
Trải nghiệm tích cực của bệnh nhân5
Nong hàm khẩu cái Invisalign mang lại kết quả bạn mong muốn mà không gây thêm cảm giác khó chịu do kim loại hoặc khó khăn khi vặn vít hàng ngày6.
Điều trị an toàn và hiệu quả lâm sàng 2
Phương pháp điều trị nong hàm khẩu cái Invisalign giúp bạn đạt được mục tiêu lâm sàng là mở rộng đường khớp giữa vòm miệng3.
Một quy trình làm việc đơn giản, kỹ thuật số
Dễ dàng tích hợp vào quy trình làm việc của bạn sau một lần quét iTero™ đơn giản .
Giảm thời gian ngồi ghế
Không có kim loại có nghĩa là không có dây bị đứt và ít phải cấp cứu hơn4.
Trải nghiệm tích cực của bệnh nhân5
Nong hàm khẩu cái Invisalign mang lại kết quả bạn mong muốn mà không gây thêm cảm giác khó chịu do kim loại hoặc khó khăn khi vặn vít hàng ngày6.
Thiết kế hiện đại của nong hàm khẩu cái Invisalign.
Với Hệ thống nong hàm khẩu cái Invisalign, bệnh nhân cảm thấy thoải mái hơn7 và ít lo lắng hơn8 do không cần kim loại hoặc ốc vít để xoay
Bề mặt lưỡi nhẵn mịn tạo sự thoải mái cho bệnh nhân.
Phủ kín vòm miệng với độ dày được cá nhân hóa để phù hợp với từng bệnh nhân.
Tay cầm có chức năng tháo lắp dễ dàng.


Tái định nghĩa trải nghiệm bên ghế nha cho bệnh nhân và nhân viên của bạn.
Đơn giản hóa các cuộc hẹn giao và tháo hàm nong của bạn bằng Hệ thống nong hàm khẩu cái Invisalign.


Hệ thống nong hàm truyền thống
Thường được làm bằng kim loại, dụng cụ nong truyền thống phải được bác sĩ đưa vào và người chăm sóc hoặc bệnh nhân phải tự vặn vít.

Sử dụng hệ thống nong hàm khẩu cái Invisalign
Nong hàm khẩu cái Invisalign dễ lắp vào. Hầu hết trẻ em đều có thể tự lắp. Nong hàm khẩu cái Invisalign cũng dễ tháo ra để vệ sinh răng miệng dễ dàng.
Ngăn chặn sớm các vấn đề đang phát triển.
Tổng quan về phạm vi lâm sàng của Hệ thống nong hàm khẩu cái Invisalign.
Với Hệ thống nong hàm khẩu cái Invisalign, bệnh nhân ít đau và lo lắng hơn7 do không cần kim loại hoặc ốc vít để xoay. Họ có thể dễ dàng tháo hàm nong để chải răng, giúp vệ sinh răng miệng tốt hơn6 và tuân thủ trong suốt quá trình điều trị8.
Bề mặt lưỡi nhẵn mịn tạo sự thoải mái cho bệnh nhân.
Phủ kín vòm miệng với độ dày cá nhân hóa để phù hợp với từng bệnh nhân
Tính năng tay cầm tháo lắp giúp dễ dàng lắp vào và tháo ra




Xem những đồng nghiệp của bạn nói gì về phương pháp mới thú vị này để điều trị các ca Giai đoạn I.
Hệ thống nong hàm khẩu cái Invisalign thoải mái hơn và hiệu quả tương đương7.
trong số các bác sĩ chỉnh nha được đào tạo về Invisalign được khảo sát đồng ý rằng họ sẽ giới thiệu Hệ thống nong hàm khẩu cái Invisalign cho đồng nghiệp của mình9.
trong số những bệnh nhân được điều trị bằng nong hàm khẩu cái Invisalign đã tuân thủ việc đeo thiết bị trong quá trình điều trị nong hàm10.
trong số các bác sĩ chỉnh nha được đào tạo về Invisalign được khảo sát đồng ý rằng trẻ em được điều trị bằng Hệ thống nong hàm khẩu cái Invisalign có chất lượng cuộc sống tốt hơn* so với những trẻ được điều trị bằng bộ khí cụ nong hàm truyền thống11.
trong số các bác sĩ chỉnh nha được đào tạo về Invisalign được khảo sát đồng ý rằng họ sẽ giới thiệu Hệ thống nong hàm khẩu cái Invisalign cho đồng nghiệp của mình9.
trong số những bệnh nhân được điều trị bằng nong hàm khẩu cái Invisalign đã tuân thủ việc đeo thiết bị trong quá trình điều trị nong hàm10.
trong số các bác sĩ chỉnh nha được đào tạo về Invisalign được khảo sát đồng ý rằng trẻ em được điều trị bằng Hệ thống nong hàm khẩu cái Invisalign có chất lượng cuộc sống tốt hơn* so với những trẻ được điều trị bằng bộ khí cụ nong hàm truyền thống11.
Tổng quan về phạm vi lâm sàng của nong hàm khẩu cái Invisalign
Cung cấp phương pháp điều trị phù hợp cho quá trình nong hàm dần dần với quy trình làm việc đơn giản.
Chỉ định điều trị
Hệ thống nong hàm khẩu cái Invisalign được chỉ định để điều trị chỉnh nha cho các ca sai khớp cắn. Hệ thống được sử dụng để nong nhanh và sau đó giữ cung xương và/hoặc cung răng hàm trên hẹp (hàm trên, cung răng và răng, khẩu cái) với răng sữa, răng hỗn hợp hoặc răng vĩnh viễn trong quá trình điều trị chỉnh nha hoặc chỉnh hình ở trẻ em hoặc thanh thiếu niên. Tham khảo Hướng dẫn sử dụng Hệ thống nong hàm khẩu cái Invisalign để biết danh sách đầy đủ các chống chỉ định, cảnh báo và biện pháp phòng ngừa của thiết bị.




Chuyển đổi liền mạch sang phương pháp điều trị Invisalign First™.
Kết hợp với khay niềng răng trong suốt Invisalign First ™ , Hệ thống nong hàm khẩu cái Invisalig cung cấp cho bác sĩ giải pháp điều trị can thiệp sớm toàn diện, bao gồm cả nong cung xương (chỉnh hình) và cung răng (chỉnh nha). Tìm hiểu thêm về điều trị Giai đoạn I bằng khay niềng răng Invisalign First.




Tìm hiểu thêm về Hệ thống nong hàm khẩu cái Invisalign
Hãy lắng nghe trực tiếp từ những người đồng nghiệp của bạn về trải nghiệm của họ khi sử dụng Hệ thống nong hàm khẩu cái Invisalign.
Xem tác động biến đổi của Hệ thống nong hàm khẩu cái Invisalign®
Các nghiên cứu ca nổi bật của Hệ thống nong hàm khẩu cái Invisalign
Báo cáo ca 1
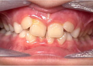
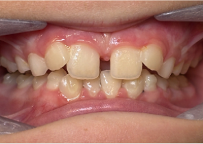
10 năm 0 tháng tuổi, 18 bước nong của Nong hàm khẩu cái Invisalign®


Nhờ sự giúp đỡ của Tiến sĩ Bởi Sandra Khong Tai


Hàm được nong sau khi sử dụng nong hàm khẩu cái Invisalign®


Sau khi điều trị bằng Invisalign First


Nhờ sự giúp đỡ của Tiến sĩ Bởi Sandra Khong Tai


Hàm được nong sau khi sử dụng nong hàm khẩu cái Invisalign®


Sau khi điều trị bằng Invisalign First
Báo cáo ca 2
7 tuổi 11 tháng, 24 bước nong của Nong hàm khẩu cái Invisalign®


Nhờ sự giúp đỡ của Tiến sĩ David R. Boschken


Hàm được nong sau khi sử dụng nong hàm khẩu cái Invisalign®


Sau khi điều trị với Nong hàm khẩu cái Invisalign


Nhờ sự giúp đỡ của Tiến sĩ David R. Boschken


Hàm được nong sau khi sử dụng nong hàm khẩu cái Invisalign®


Sau khi điều trị với Nong hàm khẩu cái Invisalign
Những câu hỏi thường gặp
Nếu có thêm thắc mắc hoặc muốn biết hướng dẫn Câu hỏi thường gặp đầy đủ, vui lòng liên hệ với Quản lý phát triển phòng khám Invisalign của bạn.
1. Hệ thống nong hàm khẩu cái Invisalign® là gì?
Hệ thống nong hàm khẩu cái Invisalign (IPE) là thiết bị chỉnh nha in 3D trực tiếp đầu tiên của Align (sản xuất bằng công nghệ bồi đắp) để giải quyết tình trạng nong xương ở bệnh nhân đang tăng trưởng. Hệ thống bao gồm một loạt các Hàm nong khẩu cái Invisalign® và hàm duy trì khẩu cái Invisalign® có thể tháo rời theo chỉ định của bác sĩ.
2. IPE được làm từ gì?
Hàm nong khẩu cái Invisalign và hàm duy trì khẩu cái Invisalign được làm từ polyamide-12, một loại polymer còn được gọi là nylon 12, một loại nylon.
3. Mức nong bao nhiêu mm/ngày? Tôi có thể kiểm soát mức nong ít hơn theo từng giai đoạn không?
Sau nước nong 0 (thụ động), mỗi giai đoạn được lập trình để nong chủ động, với chuyển động 0,25 mm cho mỗi bước nong.
Hàm nong có thể được thay thế hàng ngày để nong nhanh hoặc thay đổi ít thường xuyên hơn (ví dụ: 2 hoặc 3 ngày) hoặc theo quyết định của bác sĩ, dựa trên phản ứng sinh học của bệnh nhân.
4. Trường hợp nào áp dụng IPE trong nha khoa?
Phải tuân theo trường hợp áp dụng nha khoa. Bệnh nhân áp dụng:
3 răng ổn định trên mỗi góc phần tư trên cung hàm trên
Chiều cao than rang ít nhất 4 mm
Răng hàm lớn vĩnh viễn thứ nhất (6s)
Răng hàm lớn sữa thứ nhất (Ds) hoặc răng hàm nhỏ thứ nhất (4s)
Răng hàm lớn sữa thứ hai (Es) hoặc răng hàm nhỏ thứ hai (5s)
Răng hàm lớn vĩnh viễn thứ hai (răng 7) đã mọc, nhưng sẽ không được khí cụ bao phủ
Răng nanh (răng C/3) đã mọc, nhưng sẽ không được khí cụ IPE bao phủ
2. Có thể không áp dụng được:
Thân răng lâm sàng ngắn:
Việc thiếu khả năng duy trì của khí cụ hoặc khó khăn trong việc gắn kết có thể xảy ra ở những răng có thân răng lâm sàng ngắn (< 4mm) hoặc răng hàm vĩnh viễn thứ nhất hàm trên, răng hàm sữa thứ hai hàm trên và răng hàm sữa thứ nhất hàm trên không ổn định.
2. Phục hình răng:
Có thể xảy ra tình trạng duy trì của khí cụ không đủ, lực tác động quá mạnh lên phục hình răng và/hoặc khó khăn trong việc gắn kết trên răng có thân răng thép không gỉ hoặc các loại phục hình răng khác:
Bệnh nhân có thân răng bằng thép không gỉ có thể đủ điều kiện để điều trị theo quyết định của bác sĩ (lưu ý rằng Hàm Nong Khẩu cái Invisalign First™ sẽ bao phủ các răng này)
3. Bệnh nhân mắc các bệnh lý về vòm miệng:
Chồi xương (exostosis) hoặc hở hàm ếch (cleft palate)
4. Không áp dụng cho việc điều trị:
Thiếu các răng được IPE bao phủ(tức là, D/4, E/5 và 6)
Chỉ có răng sữa (tức là răng 6 chưa mọc)
5. Có bao nhiêu giai đoạn? Chúng được vận chuyển cùng một lúc? Có phải mỗi giai đoạn được vận chuyển 1 hay 2 lần?
Một loạt các Hàm nong khẩu cái Invisalign được vận chuyển dưới dạng 1 thiết bị cho mỗi giai đoạn. Bất kỳ giai đoạn bổ sung nào cũng cần được đặt hàng từ biểu mẫu Rx.
Số lượng bước nong được Bác sĩ xác định dựa trên các mục tiêu lâm sàng:
Số lượng hàm nong được xác định dựa trên mức nong mong muốn được chỉ định trong biểu mẫu Rx: mỗi bước nong được lập trình ở mức 0,25 mm/ngày, lượng nong tối đa có thể được đặt hàng là 12 mm. Bác sĩ có thể dừng nong bất kỳ lúc nào dựa trên quan sát/sở thích lâm sàng và đặt hàng Hàm nong khẩu cái Invisalign. Hàm duy trì khẩu cái Invisalign cần được đặt hàng riêng trong biểu mẫu Rx.
Số lượng hàm duy trì cũng được bác sĩ xác định dựa trên thời gian duy trì (tính bằng tuần). Hàm duy trì là bản sao của giai đoạn cuối cùng của hàm nong nhằm ổn định khẩu cái sau khi nong chủ động, được thay thế sau mỗi 2-4 tuần.
Hàm nong và hàm duy trì được vận chuyển riêng—hàm duy trì được sản xuất sau khi đạt được độ nong chủ động mong muốn và bác sĩ đã chỉ định trong biểu mẫu Rx ở giai đoạn nào để bắt đầu giai đoạn duy trì.
6. Độ dày của từng giai đoạn là bao nhiêu? Có giống nhau cho từng giai đoạn không?
Độ dày của thiết bị được tùy chỉnh dựa trên giải phẫu riêng của từng bệnh nhân. Độ dày của vùng vòm miệng cũng được sản xuất riêng để tạo sự thoải mái.
7. IPE có tạo ra lực/áp suất bằng nhau cho mọi giai đoạn không? Hay lực/áp suất thay đổi?
Thiết bị được nhắm mục tiêu để áp dụng lực ngang giống nhau hoặc tương tự cho mọi giai đoạn điều trị, nhưng lực đó có thể thay đổi tùy theo giải phẫu của bệnh nhân.
8. Bệnh nhân có phải tháo IPE để ăn không? Nếu có thể ăn với IPE, cần tránh những loại thực phẩm/đồ uống nào?
Bệnh nhân không cần tháo thiết bị khi ăn hoặc uống. Tuy nhiên, nên súc miệng kỹ sau mỗi bữa ăn.
Thận trọng: Nhai thức ăn cứng, dính hoặc có đường (bao gồm cả kẹo cao su) có thể làm hỏng thiết bị và/hoặc răng của bệnh nhân và nên tránh. Uống đồ uống có đường hoặc có tính axit có thể làm hỏng răng của bệnh nhân và nên tránh.
Bệnh nhân nên đánh răng và dùng chỉ nha khoa trước khi lắp khí cụ. Nếu không có bàn chải đánh răng, họ có thể chỉ cần súc miệng và vệ sinh khí cụ bằng cách giữ chúng dưới vòi nước chảy.
Bệnh nhân không nên vứt bỏ túi đựng ban đầu vì chúng sẽ được sử dụng để cất giữ khí cụ đã qua sử dụng.
Lưu ý: Bác sĩ nên đánh giá xem một bệnh nhân cụ thể có nên tháo khí cụ khi ăn hay không (xem xét độ tuổi của bệnh nhân và khả năng tháo và lắp lại khí cụ) và nên khuyên bệnh nhân và người lớn giám sát tuân thủ vệ sinh răng miệng đúng cách cũng như hướng dẫn sử dụng và chăm sóc. Bác sĩ nên giới thiệu bệnh nhân đến Hướng dẫn sử dụng và chăm sóc bệnh nhân. Có thể yêu cầu bản cứng thông qua tab “Hỗ trợ” của through Invisalign Doctor Site
9. Tôi có thể sử dụng máy quét nào?
Dựa trên khả năng áp dụng quy trình kinh doanh hiện tại, Align Technology, Inc. hiện chỉ chấp nhận quét bằng máy quét trong miệng kỹ thuật số iTero có bán trên thị trường (do Align Technology, Ltd. cung cấp). Không chấp nhận quét của bên thứ 3/lấy dấu PVS. Vui lòng tham khảo hướng dẫn sử dụng máy quét iTero để biết hướng dẫn sử dụng đầy đủ.
Khi quét để điều trị nong khẩu cái, các lần quét của bạn phải chụp được bề mặt vòm miệng, nướu và thân răng.
Tất cả máy quét trong miệng kỹ thuật số mang nhãn hiệu iTero đều có thể sử dụng với Hệ thống nong hàm khẩu cái Invisalign. Vui lòng kiểm tra trang web iTero hoặc liên hệ với bộ phận hỗ trợ khách hàng để biết danh sách các máy quét có sẵn trên thị trường của bạn.
10. Tôi có thể sử dụng vật liệu gắn nào?
Vui lòng sử dụng hướng dẫn bắt đầu nhanh của IPE để biết danh sách các chất kết dính và vật liệu tổng hợp được khuyến nghị sử dụng với Hệ thống nong hàm khẩu cái Invisalign dựa trên thử nghiệm liên kết cắt do Align Technology thực hiện. Liên kết đến hướng dẫn.
11. Các răng nào được gắn các attachment?
6s và Es (hoặc nếu 5s đã mọc đủ, thì chúng sẽ có attachment)
12. Phạm vi bao phủ răng của IPE là bao nhiêu/bao nhiêu răng được bao phủ bởi IPE?
3 răng (Ds, Es, 6s) được bao phủ, nhưng các attachment được gắn trên 2 răng


